不孕症患者的福音 ——我院开展子宫输卵管造影检查

输卵管是女性生殖系统的主要组成部分之一,据统计,由输卵管因素引起的不孕占女性不孕症的50%以上,如今临床上检查女性输卵管通畅与否最常见检测方法就是输卵管造影,这也是检查女性不孕症一种重要检查手段。近日,我院引进一台先进的妇科诊断治疗仪,集输卵管通液、诊断、治疗、造影于一体,满足了延庆地区女性不孕症患者的就医需求。
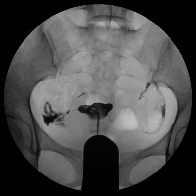
输卵管造影检查是通过导管向子宫腔及输卵管注入造影剂,利用X线诊断仪透视及摄片,根据造影剂在输卵管及盆腔内的显影情况来了解输卵管是否通畅、通畅程度、阻塞部位及宫腔形态的一种检查方法。该检查损伤小,配以高精度数字化X线成像系统使造影图像更清晰,对输卵管阻塞诊断准确率达98%,同时还具有一定的治疗作用,在许多方面是超声、CT、核磁、宫腔镜、腹腔镜、输卵管镜等检查所无法替代的。
检查适应症:
1.不孕症:用以了解原发性或继发性不孕症的原因,它不但能了解子宫及输卵管有无先天性畸形或病理情况存在,还能了解输卵管是否通畅,从而找到不孕原因。有些病例经子宫输卵管造影后,可促使不通畅的输卵管变得通畅而受孕。
2.检查子宫的大小形态,特别是用以观察有无子宫畸形与子宫发育不全,如双角子宫、纵隔子宫等。
检查注意事项:
子宫输卵管造影一般选择在月经干净后3-7天内进行。输卵管造影后两个星期之内禁忌盆浴及性生活,按时服用抗生素,做好预防工作。注意阴道流血情况,一周内有少量阴道出血而没有其它不适是正常的现象,若是出血量较多,或是超过月经量伴有其它不适感,就要及时跟医生联系。另外,造影后建议避孕三个月。
(妇产科 闫璞玲 放射科 石建成)
