骨科开展膝关节单髁置换术
近日,我院骨科成功完成了首例人工膝关节单髁置换术。患者术后疼痛及膝关节功能明显好转,效果显著。该手术的成功标志着我院在人工关节置换技术方面又向前迈进一步。




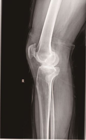
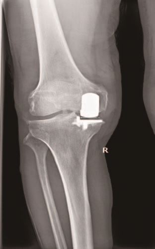
67岁的王大爷三年前出现右膝关节疼痛,经过多次口服药物、理疗等保守治疗,效果越来越不好,如今行走200-300米左右就疼痛难忍,严重影响日常生活,于是在家属的陪同下来到我院就诊。经X光片检查显示,王大爷术前膝关节活动度伸直5°,屈曲120°,轻度内翻畸形,被确诊为右膝骨性关节炎,医生建议手术治疗。5月20日,医生们为其实施了人工膝关节单髁置换手术,手术进行顺利,术后王大爷的手术切口愈合较好,膝关节内翻畸形纠正,1周内经过锻炼膝关节伸直5°,屈曲110°,王大爷对手术及术后功能恢复非常满意。
据了解,膝关节骨性关节炎是中老年常见病及多发病,发病基础是膝关节软骨退变、磨损、局部应力增加,导致膝关节疼痛及活动受限,影响患者日常生活,严重者可致残。目前提倡膝关节骨性关节炎阶梯性治疗理念,具体分为截骨术、单髁置换术、全膝关节置换术,单髁置换术为阶梯性治疗另一种手术方式。
由于膝关节骨关节炎开始疼痛一般均为内侧疼痛,而膝关节单髁置换术就是用人工膝关节置换内侧发生病变的关节软骨、半月板,而保留正常的关节韧带和其他组织,患者术后膝关节本体感觉保留,步态稳定感觉好,给患者以最小的创伤获得最大的收益。这种局限性微创术具有创伤小、并发症少、功能恢复快的优点。
基于人工膝关节单髁置换的优点,我院骨科积极引进积水潭医院矫形骨科技术,使用牛津OxfordIII代单髁假体成功开展膝关节单间室骨性关节炎单髁置换术,术中切除骨量小,术后患者不需要输血,易于康复,治疗效果令人满意,深受骨科医生和患者的青睐。
